Huesos sesamoideos del Hallux - 1a parte

Huesos sesamoideos del Hallux - 1a parte
por Dr. Hugo Osvaldo Ricchetti

 INTRODUCCION:

Los huesos Sesamoideos del Hallux son llamados así desde tiempos de Galeno por su semejanza a las  semillas del sésamo, y pueden ser asiento de diferentes patologías que motiven la consulta al especialista del pie.
 
ANATOMIA:
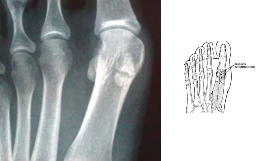
El Hallux presenta dos huesos sesamoideos constantes a nivel de la articulación Metatarsofalángica     y un hueso sesamoideo inconstante en la articulación Interfalángica.

Los Sesamoideos metatarsofalángicos ( MTF ) son denominados Medial ( Tibial o Interno ) y Lateral ( Fibular, Peróneo o Externo).  Se forman de múltiples centros de osificación, que finaliza entre los 7 y 10 años de edad.  Para la mayoría de los au tores  la falta de dicha unión explicaría la existencia de Sesamoideos Bi, Tri, o Multipartitos. Son de forma ovoidea. El Sesamoideo Interno mide aproximadamente 12 - 15 mm por 9 - 11 mm y el Externo 9 - 10 mm por 7 - 9 mm.  Se encuentran incluidos en el espesor del tendón del flexor corto del Hallux y ubicados a ambos  lados de la cresta intersesamoidea en el aspecto plantar de la cabeza del primer metatarsiano; con la cual contactan por su superficie articular recubierta de cartílago presentando tejido y líquido sinovial.

Ambos sesamoideos se encuentran unidos por un ligamento intersesamoideo firme y grueso,  y
además sujetos como en una rienda a la cabeza del primer metatarsiano y a la base de la falange proximal ( aparato falango - sesamoideo del dedo gordo ).

Además el Sesamoideo interno recibe inserciones del fascículo interno del flexor corto y del abeductor del hallux, y está unido a la cápsula interna articular. El Sesamoideo externo recibe inserciones del fascículo externo del flexor corto y de los fascículos oblicuo y transverso del aductor que corren sobre el ligamento metatarsiano transverso.  Estos tendones van del sesamoideo externo a la cara plantar externa de la base de la primera falange, este sesamoideo se une al cuello del segundo metatarsiano por la porción profunda del ligamento intermetatarsiano, ( si se secciona éste, el sesamoideo se reduce con facilidad ). Por encima del ligamento intersesamoideo transcurre el tendón del flexor largo del  hallux al cual  protegen antes de su inserción en la falange distal. En ocasiones existe una bursa entre el sesamoideo interno y la piel, ambos sesamoideos están separados de ésta por la almohadilla plantar.
 
CIRCULACION DE LOS SESAMOIDEOS:
Existen 3 tipos de circulación. En el tipo A (52%) aportada por 2 ramas arteriales de la Plantar Medial y del Arco Plantar, en el tipo B (24%) aportada por una sola rama a través del Arco Plantar y en el tipo C (24%) por una sola rama a través de la Arteria Medial Plantar.

El polo proximal es aportado a través de una rama de la 1º arteria metatarsiana (de 1/3 a 2/3 proximales de los sesamoideos)  que entra a través de la inserción del flexor corto del Hallux. El vaso plantar aporta en el aspecto distal y el vaso menor capsular aporta al polo distal  con pequeñas penetraciones dentro del sesamoideo. Se cree que el origen de los sesamoideos bipartitos se debe a un factor relacionado  con la micro circulación.

En conclusión, el mayor aporte intraóseo de los sesamoideos es por los vasos proximal y plantar.
Estos vasos pueden ser dañados en las aperturas quirúrgicas intraarticulares, (mediales o laterales) y de esta manera dejar zonas avasculares, por lo que el riesgo es mayor si se lesiona el polo distal y no así el polo proximal en las sesamoidectomías parciales.
 
FISIOLOGIA:
La función primordial de los Sesamoideos de la articulación MTF del hallux es la de absorber  presiones, reducir la fricción  y servir como fulcro o punto de apoyo para el funcionamiento normal de dicha articulación; además de la de protección de los tendones que funcionan en el aspecto plantar de la principal articulación del antepie, desde el punto de vista funcional, durante la marcha, el trote, la carrera y el salto.

Los dos huesos se mueven solidariamente entre sí y con el primer dedo, actuando como diminutas
rótulas de las cabezas metatarsianas. 

Junto con los ligamentos colaterales medial y lateral MTF colaboran en la estabilidad intrínseca de 
esta articulación.

Múltiples estudios demuestran que el sesamoideo medial (tibial o interno) soporta mayores presiones y es más vulnerable a traumatismos directos que el externo.

Además el sesamoideo interno presenta 10 veces más incidencia de fragmentación que el externo (bi, tri, o multipartito) y cuando esto ocurre se encuentra en forma bilateral.

Se ha reportado una significativa asociación entre sesamoideo interno bi o tripartito  y  Hallux Valgus. Asimismo parece causal de aparición de Hallux Valgus la extirpación del sesamoideo interno y de Hallux Varus la extirpación del sesamoideo externo; y de una deformidad en Cock- Up o dedo en resorte al extirparse ambos sesamoideos.
 
PATOLOGIA DE LOS SESAMOIDEOS:
Múltiples patologías pueden afectar a los sesamoideos del hallux, y en todas ellas el principal síntoma es el dolor, coexistiendo generalmente con edema, inflamación y/o calor y rubor.

Todo esto provoca disminución de la movilidad articular y el dolor se intensifica al realizar la máxima  flexión dorsal del hallux o al presionar los sesamoideos en forma directa.

El  exámen  clínico debe ser ampliado con la utilización de los métodos de estudios complementarios acorde a la presunción diagnóstica.

 Son de utilidad las Rx simples (Frente, Oblicua interna, Oblicua externa, Axial y Perfil).

 Para determinadas patologías nos podemos valer de: TAC, Centellograma, RMN, y exámenes de laboratorio.
           
Las patologías más comunes que afectan a los Sesamoideos del Hallux son: 
            1.- Sesamoiditis Simple.
            2.-  Luxación de los Sesamoideos.
            3.-  Fractura de los Sesamoideos.
            4.-  Osteocondritis de los Sesamoideos.
            5.-  Infección de los Sesamoideos.
            6.-  Condromalacia de los Sesamoideos. 
            7.-  Malformaciones, Deformación y Queratosis Plantar Intratable.
            8.-  Ausencia o Hipoplasia congénita del Sesamoideo interno. 
            9.-  Sesamoideos en Enfermedades Sistémicas.
          10.-   Sesamoideo debajo de la articulación interfalángica. (sesamoideo sub – hallux).
 
 1.- Sesamoiditis Simple:
Se presenta con dolor, inflamación y tumefacción de las estructuras peritendinosas de los sesamoideos; de comienzo súbito o gradual y asociado al soporte de peso. Se exacerba con la dorsiflexión  del dedo gordo.  Hay dolor a la palpación directa de los sesamoideos y alrededor de ellos.
Afecta más comúnmente al sesamoideo interno y puede deberse a traumatismos, infección o necrosis avascular (causas locales), o por enfermedad sistémica (sífilis, diabetes u otras neuropatías). 
La causa traumática se ve más frecuentemente en atletas (básquet, carrera, hand ball, turf –Toe), por saltos de altura, microtraumatismos reiterados o en bailarines, con zapatos cortos o tacos altos, o cuando se presenta un sesamoideo grande o anómalo. Las Rx simples suelen ser de escaso valor diagnóstico el cual generalmente es clínico.
El tratamiento comienza con medidas conservadoras y  de no lograrse la mejoría y luego de un tiempo prolongado de tratamiento conservador (no menos de 90 días)  debe ser considerado el tratamiento quirúrgico (sesamoidectomía).
 
 2.- Luxación de los Sesamoideos:  
Lo  más común es el desplazamiento relativo de ambos sesamoideos (en el hallux valgus por la desviación medial y la rotación interna del primer metatarsiano, con una cresta intersesamoidea  baja).
Los sesamoideos quedan sujetos al ligamento metatarsiano transverso y al tendón del abeductor del dedo gordo, quedando descubiertos en el primer espacio. Cuando existe una luxación crónica del sesamoideo externo (sin hallux valgus) y se torna sintomático puede estar indicada la sesamoidectomía externa. Se  recomienda la utilización de la Rx axial de sesamoideos para evaluar la ubicación y morfología de los mismos con respecto a la cabeza metatarsiana.
 
3.- Fractura de los Sesamoideos: 
No son frecuentes las fracturas agudas. 
El sesamoideo interno es el más frecuentemente afectado por sus condiciones de ubicación anatómica, al soportar el mayor porcentaje de la transmisión del peso, en contraste con el sesamoideo externo.
Pueden presentarse   fracturas por stress en  bailarines de ballet, jockeys, (turf – toe), básquetbolistas etc. Para Trevino las lesiones tipo turf – toe se producen por una exagerada dorsiflexión del Hallux , y serían agudas presentando dolor y un gran hematoma en la región plantar.
Las fracturas – luxaciones dorsales se clasifican en 3 tipos o grados de acuerdo a la presencia o no de ruptura capsular y de lesión ósea asociada.
El Grado 1 se presenta  con ruptura incompleta capsular, en el Grado 2 hay ruptura completa capsular sin compresión del hueso y en el Grado 3 a la ruptura capsular completa se le agrega compresión ósea en el aspecto dorsal de la 1º articulación MTF.
Además estos se subdividen en 2 Tipos y 3 subgrupos de acuerdo a la reductibilidad o no de los fragmentos.  
Las fracturas pueden ser transversales o conminutas. Se diagnostican por los antecedentes y se presentan con dolor súbito luego del accidente (salto de altura, esfuerzo excesivo, etc.). El  dolor se exacerba con la dorsiflexión del hallux y con la palpación directa del sesamoideo. Otras veces el comienzo es insidioso y puede haber tumefacción en partes blandas, concurriendo el paciente días o semanas posteriores al accidente.
Se ven fracturas por stress en las malas alineaciones del 1º metatarsiano, con pródromos de
dolor en forma crónica al caminar o correr. 
Debe hacerse diagnóstico diferencial con sesamoideos no osificados. En la Rx simple (frente, perfil, oblicuas y axiales), las fracturas presentan bordes dentados e irregulares, mientras que en los huesos bi o tripartitos los bordes son netos, regulares y uniformes.
A pesar de ello muchas veces debemos valernos de centellografías, TAC y/o RNM para certificar el diagnóstico.
Puede ser útil realizar el Stress Testing para observar la separación de los fragmentos en la extensión completa del Hallux a nivel MTF; y el Draver Test  para evaluar la ruptura del ligamento intersesamoideo con insuficiencia de la Aponeurosis Plantar.
El tratamiento comienza con inmovilización durante 6 semanas, con bota corta de yeso o walker boot, luego y ante la persistencia de la sintomatología o la no unión deberá considerarse la sesamoidectomía parcial o total. Algunos autores recomiendan la utilización de injerto óseo autógeno  en casos de pseudoartrosis de sesamoideos pero la reservan solamente en casos de atletas de alta competitividad.
 
 4.- Osteocondritis de los Sesamoideos:
Proceso poco frecuente, que afecta a cualquiera de los dos sesamoideos, (Caravías  1957).Para Mann afecta más comúnmente al externo.
Es más común en mujeres adolescentes o de la tercera década de la vida. El síntoma fundamental es el dolor. Las Rx muestran un sesamoideo irregular aumentado de tamaño con áreas líticas.
Las imágenes radiográficas asemejan a la necrosis avascular con colapso del hueso.
Parecen ser el resultado de fracturas por stress o ¿Necrosis Avascular?.
El tratamiento comienza con medidas conservadoras mediante un tiempo prudencial luego del cual, y de no hallarse mejoría, deberá plantearse la posibilidad de una sesamoidectomía.